Smile Makeover Brooklyn, NY : Smile Makeover Worn Chipped Teeth
Description
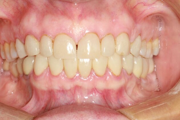
This patient presented with incisal wear and fractures throughout the heavily restored amorphous dentition. Porcelain was completely worn through to the underlying tooth structure. This situation required a total replacement of all existing upper restorations. I needed to create enough room for the restorative material to resist a reoccurrence of this condition. The overall result was a more natural looking tooth display and attractive smile.




